Most people are probably familiar with feeling at a loss for words – the feeling of being “tongue-tied.” What fewer people are aware of is a more literal sort of tongue-tie. In this article, we will be discussing the condition and how it can be treated.

Table of Contents
Overview
Except for a few sporadic cases, we all have a short flap of skin in our mouth that connects the tongue to the bottom of the mouth. This part is called the frenulum linguae or lingual frenulum and is responsible for restricting the tongue’s movement and keeping it from flapping around in the mouth too much.
In some cases, the frenulum does not develop entirely and instead grows to a shorter length than it usually would, further limiting the range of movement of the tongue, causing what is known as the tongue-tie.
What Causes Tongue-Tie?
The tongue-tie, more formally known as ankyloglossia, is a congenital defect, which means they appear at birth. As of the time of this writing, ankyloglossia is not known to be caused by an inherited condition, but doctors agree that it occurs as an issue during infancy when the lingual frenulum does not move down the tongue as the baby develops.
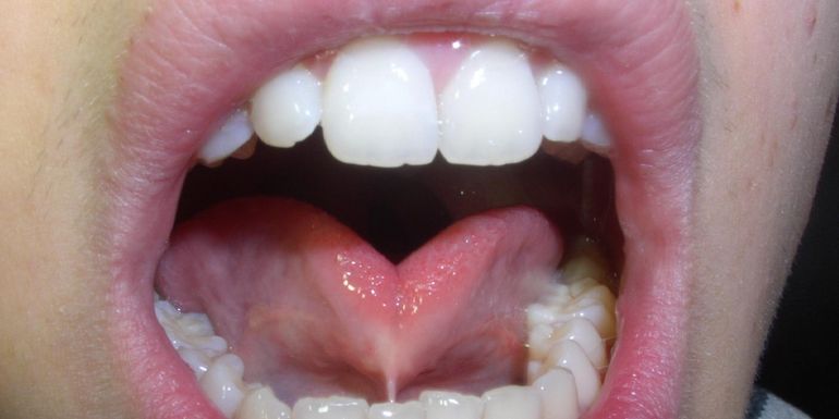
How Do You Detect Tongue-Tie?
One of the most apparent signs of a child having a tongue-tie is a sharp, heart-shaped tongue tip caused by the frenulum keeping the tongue from extending outwards usually. As mentioned earlier, a tongue-tie results in a more restricted range of movement for the tongue, so any unusual limits to the tongue movement is likely to be caused by ankyloglossia – this can involve the tongue not being able to touch the palate or the roof of the mouth, extend out past the lips or teeth, or reach the sides of the mouth.
In rarer, more severe cases known as complete ankyloglossia, the lingual frenulum is short enough to restrict the movement of the child’s tongue strongly.

What Are The Effects of Tongue-Tie?
Depending on the severity of the condition, ankyloglossia may or may not cause problems for the child during their growth. If it manifests during infancy, the tongue tie may result in the infant having difficulty breastfeeding or bottle feeding. This can cause problems with growth if the baby is unable to drink enough during this critical period.
Some cases of ankyloglossia can be found much later, such as at 1 or 2 years old or even later. A severe case of tongue-tie at this age may interfere with how the child creates sounds, especially those that require movement of the tongue such as the T, S, Z, and R sounds. If particularly severe, this can have a significant impact on the child’s speech ability and must be resolved to restore that ability.
Can Tongue-Tie be Treated?
Fortunately, tongue-tie is not a difficult condition to treat, although it will require an (albeit simple) surgical procedure to do so. This procedure is called frenectomy, which involves cutting away part of the frenulum to free the tongue and restore proper movement.
The procedure can be done on babies, older children, and even full-grown adults, although the exact steps for the procedure will vary slightly depending on the age of the patient as the frenulum grows larger and stronger as the patient ages.
In the case of infants, the frenectomy procedure can be performed as soon as the tongue-tie is detected. A pediatric surgeon, once your baby has been found with a tongue-tie, will first numb the area to be cut away with topical anesthesia, after which the frenulum is cut with surgical scissors. This procedure will not take any longer than a few minutes, and the frenulum will be able to heal and recover shortly after the procedure. The baby can resume breastfeeding as soon as the area heals.
In the case of older patients with a tongue-tie, a bit more preparation will be required to perform the frenectomy. The local or general anesthetic will be applied to the area before the procedure, and the patient may need stitches to seal the wound and start the healing process. Unlike infant patients, it will take at least a week for the mouth to heal completely, and patients who have developed speech problems may need to undergo speech therapy afterward.
In general, the frenectomy is a relatively simple procedure, and documented procedures have shown very little chance of any additional risks arising after the procedure. That being said, a frenectomy is a surgical procedure, so patients can be at risk of bleeding and infection after the procedure. This is, of course, very rare, but should be consulted with your local tongue-tie specialist who will give you further instructions to prevent the wound from becoming infected as it heals. If you have any further questions, it is a great idea to ask a pediatric surgeon for advice.